What Is a Root Canal? Simple Guide to Tooth Saving Care

What Is a Root Canal Simple Guide to Tooth Saving Care

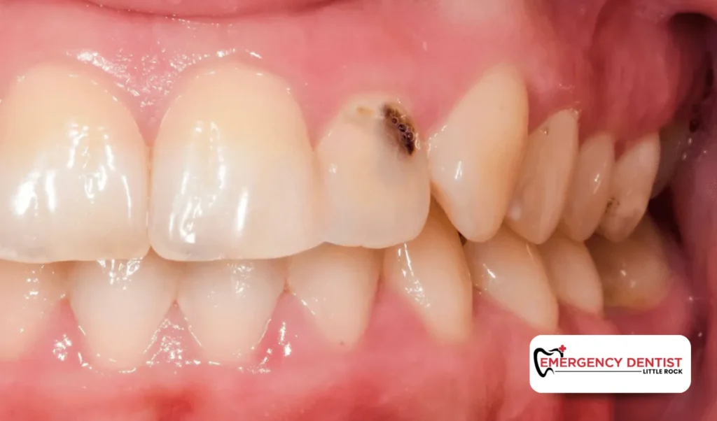
Tooth pain or sensitivity can sometimes mean more than a simple cavity. When infection reaches the inner layers of a tooth, a dental procedure is often needed to ease discomfort, protect oral health, and save your natural tooth. If symptoms appear, an Emergency Dentist in Little Rock can assess the situation and provide timely care.

This guide explains what is a root canal, what causes this treatment to be needed, how the tooth root canal process works, and why it’s preferred over having the tooth extracted.

What Is Root Canal Treatment and Why Is It Needed?

You may ask, what is a root canal or what’s a root canal used for? It is a treatment that targets the tooth pulp, a soft tissue inside the tooth that contains nerves and blood vessels. When the pulp becomes damaged due to tooth decay, cracks, trauma, or bacteria buildup, it can lead to an infected tooth, inflammation, and serious discomfort.

During the root canal procedure, the damaged pulp is removed, infection is cleared, and the inside is sealed to protect the treated tooth from further harm.

Root Canal Is for What Purpose?

Root canal therapy is for what purpose, exactly? The goal of this therapy is to:

  • Stop tooth pain caused by inflammation
  • Remove infection before it spreads
  • Prevent abscesses and tooth loss
  • Preserve your natural tooth structure

 

It is a restorative option that helps you save your natural tooth instead of losing it.

What Causes Root Canal Treatment to Be Necessary

What Causes Root Canal Treatment to Be Necessary?

Understanding what causes root canal treatment helps you prevent serious dental issues. Common causes include:

  • Tooth decay reaching the pulp
  • Cracked or chipped teeth from injuries or hard foods
  • Untreated cavities left too long
  • Repeated dental work on the same tooth
  • Trauma from accidents or sports

 

Even without pain, damage may be progressing internally. That’s why regular checkups with a general dentist or dentist or endodontist are essential.

How Is a Root Canal Done? The Tooth Root Canal Process

Wondering how a root canal is done? Here’s a slightly more detailed and reader-friendly breakdown of the tooth root canal process, explained in simple terms:

  1. Examination and X-ray

 

A general dentist or root canal specialist first examines the tooth and takes X-rays. This helps identify the location of the infection, check the condition of the tooth pulp, and determine how deep the damage goes.

 

  1. Local anesthetic

 

To make sure you stay pain-free and comfortable throughout the dental procedure, a local anesthetic is applied to numb the area around the affected tooth. This ensures you won’t feel any pain, only slight pressure.

 

  1. Opening and pulp removal

 

Next, a small opening is carefully made on the top of the tooth. Through this opening, the infected or damaged pulp is removed. Taking out the pulp eliminates pain, reduces swelling, and stops the infection from spreading further.

 

  1. Cleaning and shaping the canal

 

After the pulp is removed, the inside of the tooth is thoroughly cleaned and disinfected to get rid of any remaining bacteria. The canal is then shaped using small instruments to prepare it for sealing.

 

  1. Sealing with filling material

 

Once the inner chamber is fully cleaned and shaped, it’s filled with a rubber-like material called gutta percha. This seals the space, prevents reinfection, and supports the internal structure of the treated tooth.

 

  1. Temporary filling and crown restoration

 

A temporary filling is placed to close the access point. In most cases, the tooth will later be covered with a crown to restore strength, improve appearance, and protect it from future damage, especially if it’s a molar used for chewing.

Risks of Leaving an Infected Tooth Untreated

Risks of Leaving an Infected Tooth Untreated

When an infected tooth is left untreated, the infection may spread to the gums, jaw, or even bloodstream. Signs you may need treatment include:

  • Persistent or throbbing pain
  • Swollen gums or face
  • Darkening of the affected tooth
  • Bad taste or pus discharge

 

Ignoring these signs may lead to tooth loss, bone damage, or even systemic health problems.

Aftercare: Protecting Your Treated Tooth

Following treatment, it’s normal to feel mild sensitivity for a few days. To help recovery:

  • Eat soft foods until a permanent crown is placed
  • Brush and floss carefully around the treated tooth
  • Avoid biting hard objects
  • Attend all follow-up appointments

 

Most people return to normal activities within one to two days.

Tooth Extraction vs. Root Canal: Which Is Better?

Removing a tooth may seem like a quick fix, but extraction can lead to bite problems, shifting teeth, and jawbone loss. Keeping your natural tooth is often better for long-term oral health, function, and appearance.

When to Contact an Emergency Dentist in Little Rock

Seek urgent dental help if you have:

  • Sharp or constant pain
  • Swollen face, gums, or jaw
  • Fever or drainage of pus
  • Pain that worsens when lying down or eating

 

An Emergency Dentist in Little Rock can provide immediate care and prevent further complications.

Conclusion

Understanding what root canal treatment and how the process works can help reduce anxiety and encourage timely care. It is a safe, effective dental procedure designed to eliminate infection, relieve discomfort, and preserve your natural tooth.

If you are experiencing symptoms, do not delay seeking professional evaluation. Early diagnosis promotes faster healing, prevents further complications, and helps protect your oral health and smile for the long term.

Emergency Dentist Little Rock - logo

Please enter your name and phone number below to access our online booking portal.

Emergency Dentist Little Rock - logo